跳转到主要内容

感染性疾病科邀请核医学科就PET/CT在成人发热待查中的临床应用开展合作与讨论

2022-11-25
    随着2022年10月中旬光明区首台PET/CT在我院正式开机使用,我院开启了精准检查的新纪元,也为不明原因发热的筛查提供了更为精确的检查手段。

    

    近日,我院感染性疾病科(以下简称感染科)特别邀请到核医学科林笑丰主治医师来到科室,讲解PET/CT检查在成人不明原因发热诊断中的应用价值与意义。这次研讨会拟通过临床科室与核医学科之间的相互交流与学习,就今后对于发热查因中的诊疗开展进一步的合作进行讨论,目的主要是为了长期不明病因的发热患者早日明确诊断,同时也将两个科室之间有可能的科研合作进行交流。本次研讨会由感染科主任陈友鹏教授主持,科室全体人员开展线上、线下同步会议学习。

 

b6f0d3108f5d8d39d6bf50a1f09d7c0a.jpg

陈友鹏主任主持会议

 

    陈友鹏主任首先对于我院在光明区顺利开展首台PET/CT检查表示祝贺。他介绍了自己十年前在北京协和医院感染内科进修时,对包括发热查因在内的疑难疾病诊疗的学习体会,分享了自己对PET/CT检查在成人发热查因中临床使用认识和自己发表的长期发热诊断相关文章,强调了PET/CT检查在发热查因方面诊断的重要性和必要性。陈主任表示,PET/CT检查不仅有利于尽早发现病灶,还可能帮助临床医生判断发热患者体内良恶性病变及其程度,这一检查为今后长期发热病人的病因明确提供了非常精准的“战略武器”。同时,他非常感谢核医学科蒋宁一主任带领的核医学科团队长期以来对感染科的支持,并且第一时间安排骨干林笑丰主治医师来到感染科“传经送宝”。

 

    会议上,林笑丰主治医师先生动详细地讲解了PET/CT的应用原理以及扫描流程,随后例举了PET/CT检查在感染、肿瘤、自身免疫性疾病等各类导致发热的疾病中的主要表现,探讨了PET/CT在发热查因中的诊断与鉴别诊断价值。通过此次林医生的授课学习,感染科对PET/CT的应用有了更加深刻的理解。

 

8867d99af6adf3cf29da3be6c91cb65e.jpg

林笑丰主治医师授课

 

    正电子发射型电子计算机断层显像(PET)是核医学领域中一项先进的成像技术,它利用比如正电子核素标记葡萄糖等在内的标志物作为显像剂,通过病灶对显像剂的摄取来反映其代谢变化,可反应疾病的生理功能变化,因此被称为“活体生化显像”,PET/CT将PET的功能成像及CT的解剖学信息相结合,同时提供病灶的功能改变和形态改变,在分子水平上显示组织细胞的代谢、功能、血流、细胞增殖和受体分布等。

 

    由于发热病因的复杂性,发热查因一直是感染科疑难疾病诊治中的难点,部分患者在常规筛查流程后仍无法明确发热病因,彩超、X线、CT等常规影像学检查亦存在自身的局限型,PET/CT很好地弥补了这些检查的不足,为明确疑难发热病因提供了新线索。

 

    总之,PET/CT对疑难发热查因患者早日明确诊断具有很大的价值及指向性意义,相信未来感染科与核医学科的深度合作有望为更多发热查因病人带来获益。

 

 
疑难个案病例简介
 
 

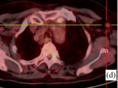
    此前一位40岁的女性患者赵某某,因“发热伴皮疹1月”收入我院,患者曾于外院抗感染治疗无效,入我院后完善血常规:白细胞18.0×109/L,中性粒细胞百分比89.5%;铁蛋白4400ng/ml;血沉83mm/h;PCT0.10ng/ml;CRP82mg/L;抗核抗体谱、类风湿因子、抗“O”、肿瘤标志物、结核抗体、T-SPOT、血培养、腹部彩超等均未见异常,胸部CT提示肺部纤维灶,进一步完善骨髓穿刺、骨髓活检亦无明显异常,为明确患者发热伴皮疹原因,进一步行PET/CT检查,结果提示双侧腋窝、右侧髂外血管旁及双侧腹股沟区多发肿大淋巴结,局部淋巴结病灶FDG代谢轻度增高,考虑非特异性炎性改变。综合结合患者相关表现、检查以及排除其他病因,相关学科讨论后,初步考虑为成人still病,予以糖皮质激素治疗后皮疹消退、体温降至正常,病情平稳后带药出院。

 

01.png02.png

03.png04.png

图为患者赵女士的PET/CT融合成像显示腋窝、腹股沟淋巴结FDG摄取增高

 

 

文|陈东阳、陈友鹏

编辑|臧卢璐

初审|陈友鹏

审核|刘畅

审核发布|陈起坤、游展高