跳转到主要内容

我院科研中心在血小板生成素(TPO)的血管保护研究方面取得成果

2020-12-17

    在刚结束的美国心脏病学(AHA)年会上,我院科研中心杨默教授团队有三篇有关TPO和血管血液的论文入选交流,论文摘要发表在著名的心血管杂志Circulation(IF:23.6)上。重组人的血小板生成素(rhTPO)是我国最早研发并进入临床使用,作为提升血小板/巨核细胞的药物。杨默教授团队致力于TPO的多器官多细胞保护研究,已在国际上首次报道了TPO的心脏保护作用(Li K et al. Circulation, 2006),今年也发表了TPO的神经保护作用研究(Li et al. Aging(Albany NY), 2020)。

 

    TPO的内皮细胞保护作用研究主要由我院杨默教授团队,南方医科大学南方医院硕士王君妍和中山大学孙逸仙纪念医院杨艳旗、曾宽教授团队合作完成。研究发现内皮细胞和神经细胞一样有TPO受体(c-mpl)的表达。通过该受体,TPO有促进人脐带来源的内皮细胞的增殖作用。’

 

TPO的内皮保护作用研究

全文链接:https://www.ahajournals.org/doi/10.1161/circ.142.suppl_3.15183

 

    进一步证实,在氯化钴(CoCl₂)造成的内皮细胞缺氧条件下,内皮细胞发生增殖抑制和凋亡。TPO有抗CoCl₂的凋亡作用,其机理可能是通过激活PI3K/AKT通路,减少Caspase-3表达和抑制CoCl₂引起的MMP下降。

 

TPO激活PI3K/AKT通路,减少Caspase-3表达并抑制CoCl₂引起的MMP下降

 

    团队的另一项研究观察到炎症或应激条件下如缺血性中风,炎性细胞因子和5-HT增多,刺激内源性TPO生成,循环中的巨核细胞和前血小板(proplatelets)增加,可能会导致血栓形成。

 

循环中的前血小板增多可能是引发血栓的一个新机制

全文链接:https://doi.org/10.1161/circ.142.suppl_3.15499

 

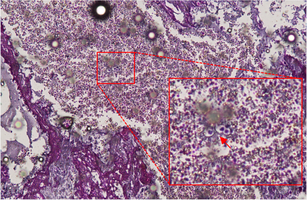
    临床标本研究表明,病人冠状动脉血栓中存在聚集的巨核细胞,提示巨核细胞数量增加。此次研究报告首次提出了一个新观点:循环中的TPO水平,巨核细胞数量和前血小板生成增多,可能是血栓形成一个新的病理生理机制。

 

首次观察到冠脉血栓有巨核细胞聚集

 

    在TPO/巨核细胞和骨髓保护领域,杨默教授团队今年还取得了三项成果。一是发现神经系统存在TPO的受体C-mpl表达,TPO可以通过C-mpl发挥抗凋亡作用,提示TPO可以作为治疗缺氧缺血性脑病的一种药物(Li L et al. Aging (Albany NY), 2020)。文章以我院李亮博士后和易陈菊副研究员为共同第一作者,杨默教授和陈纯教授为共同通讯作者。二是证明了褪黑素(Melatonin)有骨髓保护和抗巨核细胞凋亡作用(Yang M et al. Aging(AlbanyNY), 2020)。Melatonin可以作为癌症病人放化疗后骨髓抑制和血小板减少治疗的一种辅助药物。文章以我院杨默教授和李亮博士后为共同第一作者,南方医科大学南方医院叶洁瑜副教授和我院何裕隆教授为共同通讯作者。此外,该团队还研究了中药黄芪提取物(ASPS),发现ASPS也有骨髓保护和促进造血作用,但不影响内源性TPO生成,提示可能直接作用于造血系统而起作用(Li L et al. MMR, 2020)。文章以我院李亮博士后和南方医科大学南方医院许婉华博士生为共同第一作者,我院杨默教授和陈纯教授为共同通讯作者。

 

    在对抗新冠病毒的工作中,杨默教授团队及南方医科大学南方医院李强教授合作分析了600多例COVID-19病人的血液血管改变。

 

COVID-19病人血液血管的改变

全文链接:https://doi.org/10.1161/circ.142.suppl_3.15485

 

    之后,杨默教授团队、詹晓勇副研究员、李强教授团队和武汉市汉口医院胡玉海教授合作,对600多例COVID-19病人的数据进行了详尽的分析,提出了有心血管基础疾病的患者,有进行性加重的炎性反应和淋巴细胞减少,血小板减少是致死的主要原因(此文章正在投稿中)。

 

进行性加重的炎性反应和淋巴细胞减少是COVID-19患者死亡的主要原因

 

    同时,杨默教授和他在南方医科大学南方医院的学生团队合作,对新冠病人的血液学改变(Ye J et al. MMR, 2020)和血小板的发病机制进行了临床研究(Zhang et al. Thromb Research, 2020)。杨默教授团队也和中山大学生命科学院张擎副教授在外泌体领域进行了合作研究,最近有一项成果发表(Fei Li et al. Journal of Extracellular Vesicles, 2020)。

 

    上述成果是在医院的大力支持下,立足于科研中心,积极开展院内基础与临床以及与院外的合作,充分利用各自团队的优势,不断产出新的成果。科研中心将进一步与临床科室合作,共同研究,推动我院临床科研更快、更好地发展。

 

通讯员:李亮

编辑:温志鑫

初审:朱澂明

审核:刘畅

审核发布:苗伟