跳转到主要内容

我院肝癌介入微创综合治疗团队联合中山一院、南医大南方医院团队在肿瘤学高水平期刊发表论文

2020-07-28

    7月23日,我院肝癌介入微创综合治疗团队联合中山一院、南医大南方医院团队,在肿瘤学高水平期刊Therapeutic Advances in Medical Oncology( IF=6.852, Ranked 33 out of 321 in Oncology, 中科院II区, JCRQ1) 发表了原创性研究论文“Apatinib treatment may improve survival outcomes of patients with hepatitis Bvirus-related sorafenib-resistant hepatocellular carcinoma”(我院张应强主治医师为第一作者,通讯作者分别为其导师中山一院李家平教授,南医大南方医院陈勇教授)。该研究选取了索拉非尼抵抗无效的晚期肝癌患者为研究对象,改用二线阿帕替尼治疗后,较最佳支持治疗(Supportive Care)能明显提高患者生存期(mOS:7vs. 4 months, P<0.001),并通过进一步分层分析发现肝内肿瘤负荷(HR: 3.653, 95%CI: 2.047-5.965,  P<0.001)及肝外转移(HR: 0.303, 95%CI: 0.231-0.778,  P<0.001)是影响阿帕替尼疗效的关键因素。

 

 

研究背景介绍

 

    肝癌是我国最常见的恶性肿瘤之一,而且大部分发现时已属晚期,无法行根治术,预后差,中位生存期仅3~6月。索拉非尼是晚期肝癌的一线药物,尽管提高了生存期,但疾病控制率低(仅34~41.3%),因此大部分晚期肝癌患者索拉非尼是无效的,对于这大部分的索拉非尼抵抗无效的晚期肝癌患者如何进一步治疗,对提高晚期肝癌患者总体生存率具有重要意义。

 

    尽管2019版NCCN指南指出瑞戈非尼、卡博替尼、雷莫芦单抗及免疫治疗可作为晚期肝癌的二线治疗,但发现其研究对象大部分为索拉非尼继发性耐药患者,而非原发性索拉非尼抵抗患者,前期的研究表明继发性耐药与原发性抵抗分子机制不同,因此其疗效可能不一样,这些药物是否对索拉非尼抵抗的肝癌患者有效,仍不清楚。

 

    阿帕替尼是抑制肿瘤血管生成的单靶点VEGFR2-TKI,其效应是索拉非尼的10倍,在前期的II期临床试验及观察性研究中表明阿帕替尼治疗肝癌是安全有效的。目前很少研究专门针对于索拉非尼抵抗的晚期肝癌这一群体,因此开展此研究具有重要意义。

 

    本系列研究自2015年开始,系国内最早探索阿帕替尼在索拉非尼抵抗的晚期肝癌中的应用,从最初的试验性研究初步探讨阿帕替尼二线治疗索拉非尼抵抗的晚期肝癌的安全性及有效性(研究结果已发表在Cancer Control.2019; 26(1): 1073274819872216. IF=3.103, "Apatinibfor patients with sorafenib-refractory advanced hepatisis B virusrelated hepatocellular carcinoma: Results of a pilotstudy"),以及受邀在2019中国介入放射学年会作学术报告,到如今的病例对照研究,均得到了国内外专家的认可,指出具有很好的临床指导意义,亟需开展RCT进一步验证其临床价值。

 

 

 

 

 

研究结果

 

    阿帕替尼组较对症支持治疗组明显提高了索拉非尼抵抗的晚期肝癌的总生存期(7个月vs.4个月,P<0.001)。

 

 

    分层分析发现阿帕替尼治疗肝内肿瘤负荷小,肝外转移的患者能获得更长的生存期。

 

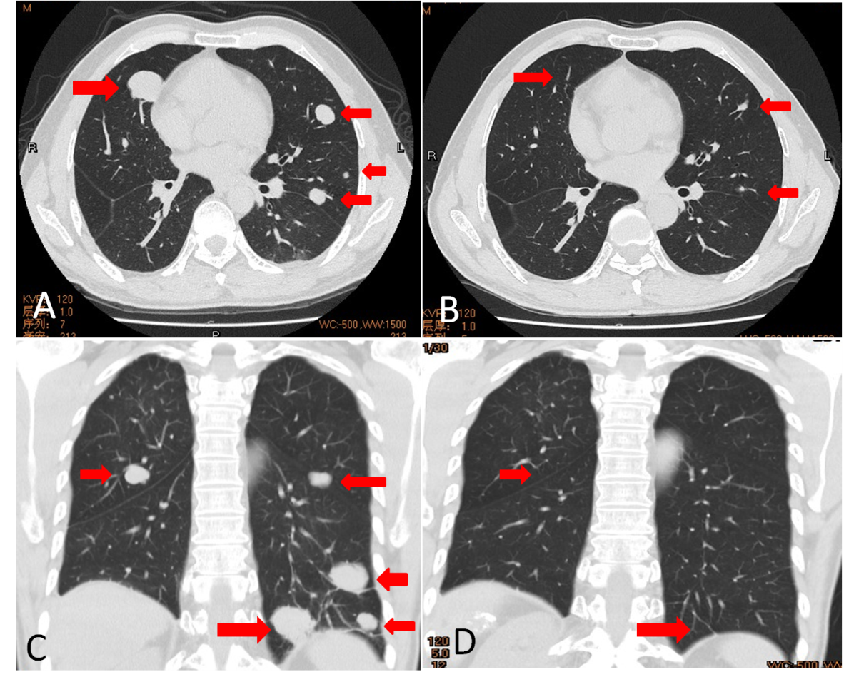
A,C为阿帕替尼治疗前,B,D为阿帕替尼治疗6月后

 

    病例展示:一50岁男性,有慢性乙肝病史,AFP:2213ng/mL。胸腹部CT提示:肝内肿物伴双肺多发转移。肺肿物穿刺病理示:肝细胞癌。给予TACE联合索拉非尼治疗,治疗后复查提示:肺内病灶持续增大,增多,AFP持续增高。考虑索拉非尼抵抗无效,然后改用阿帕替尼治疗,经阿帕替尼治疗后病灶持续缩小,AFP持续下降,6个月后复查肺内病灶几乎全部消失。该患者对阿帕替尼响应良好,最后总生存期达38月。

 
 

 

研究结论

阿帕替尼二线治疗可提高索拉非尼抵抗的晚期肝癌的生存期,尤其适用于肝内肿瘤负荷小及伴有肝外转移的患者。

 
 

 

通讯员:张应强

编辑:温志鑫

初审:元建鹏

审核:刘畅

审核发布:苗伟